וטרינר - דר' ג'רסי לזר | המרכז הרפואי לחיות מחמד ברחובות | בית גידול לכלבי קאנה קורסו ובוסטון טרייר
לוגו מרפאה וטרינרית
וטרינר - דר' ג'רסי לזר
המרכז הרפואי לחיות מחמד ברחובות
בית גידול לכלבי קאנה קורסו ובוסטון טרייר

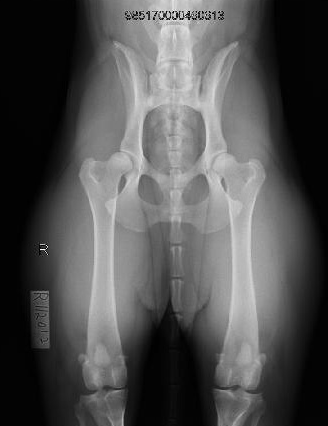
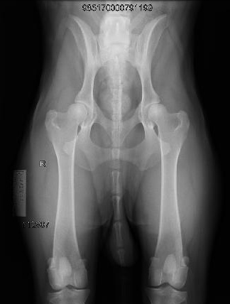
צילומי אגן לוועדת היפ דיספלסיה

בכלבים גזעיים בעלי תעודות יוחסין מבצעים צילומי אגן בהרדמה בדרך כלל מעל גיל שנה. לכל גזע קיים תקנון גידול משלים בו כתוב באיזה גיל ניתן לבצע את הצילום. צילום האגן נשלח לוועדת ההיפ דיספלסיה של ההתאחדות הישראלית לכלבנות המונה שלושה רופאים וטרינרים מומחים ברדיולוגיה.

איך מתבצע צילומי אגן לכלב?

הכלב מקבל ציון על רמת הפגיעה באגן שלו, הציונים נעים בין A ל E. ציון אגן A לכלב בריא ועל פי חומרת הפגיעה באגן B,C,Dבהתאמה עד לציון E לכלב חולה. בעזרת צילומי האגן נעזרים המגדלים ומבצעים הרבעות מבוקרות על מנת לשפר את הסיכויים לקבל גור בריא שלא יסבול בעתיד מבעיות אגן. צילום האגן נעשה בהרדמה מלאה והוא פעם בחיים ולכן חשוב לבצע את הצילום בצורה הנכונה והמדויקת ביותר.

צילומי אגן לכלב רק אצל ד״ר גרסי לזר

 
ד”ר ג’רסי לזר, בשל היותו וטרינר ומגדל של כלבי הקאנה קורסו מבית הגידול Gerassi Corso, פיתח מתקן שעוזר להגיע לשלמות בביצוע הצילום. השלמות במנח הכלב והמהירות בה מגיע ד”ר ג’רסי לזר לצילום המושלם, בעזרת המתקן שלו, למעשה מקצר את משך זמן ההרדמה ובכך בטוח יותר לכלבכם. ד”ר ג’רסי לזר צבר ניסיון רב בתחום צילומי האגן בכלבנות הגזעית ומבצע צילומי אגן לכל גזעי הכלבים משנת 2000. לד”ר ג’רסי לזר רנטגן דיגיטאלי מודרני וחדשני, ובנוסף מעניק יעוץ ועזרה חינם בכל ההליך מול וועדת ההיפ דיספלסיה של ההתאחדות הישראלית לכלבנות.
קאנה קורסו

יצירת קשר מהיר:

פייסבוק
סרטוני יו טיוב
מכירת כלבים